Pretecho’s: kijk, bewonder en beleef het samen
Een pretecho is een moment van puur genieten. Je kijkt extra naar je baby, wanneer jij dat wilt en met wie jij dat wilt. In onze warme praktijkomgeving nemen we de tijd om jullie kindje prachtig vast te leggen met haarscherpe beelden en video’s in 2D, 3D en 4D.
Onze geavanceerde echoapparatuur biedt gegarandeerd de hoogste beeldkwaliteit. Of je nu nieuwsgierig bent naar het geslacht, juist geruststelling nodig hebt, een blijvende herinnering wilt creëren, of gewoon even wilt kijken hoe je kindje erbij ligt: bij Before We Meet ben je aan het juiste adres.
Daarnaast ontvang je bij ons altijd álle foto’s en video’s van de pretecho digitaal per mail of naar je telefoon!
Wat is een pretecho?
Een pretecho is een echo op eigen verzoek, zonder medische aanleiding. Je hebt hiervoor geen verwijzing nodig van je arts of verloskundige. Pretecho’s worden dan ook niet vergoed door je zorgverzekeraar.
Deze echo’s kunnen op elk moment in de zwangerschap worden uitgevoerd, maar bieden in principe geen medische informatie over de baby.
Veel ouders kiezen voor een pretecho als herinnering aan de zwangerschap of om samen met familie of vrienden extra naar de baby te kijken. Bij een 3D- of 4D-echo zien we duidelijk het gezichtje in kleur en zien we soms een lachje of een gaapje!
Onze echoscopisten zijn medisch gediplomeerd. Hoewel we bij een pretecho niet gericht zoeken naar medische afwijkingen, zullen we, indien gewenst, contact opnemen met je zorgverlener als ons iets opvalt..
Overzicht van echo-opties
Vind hieronder ons aanbod aan verschillende opties voor echo’s.

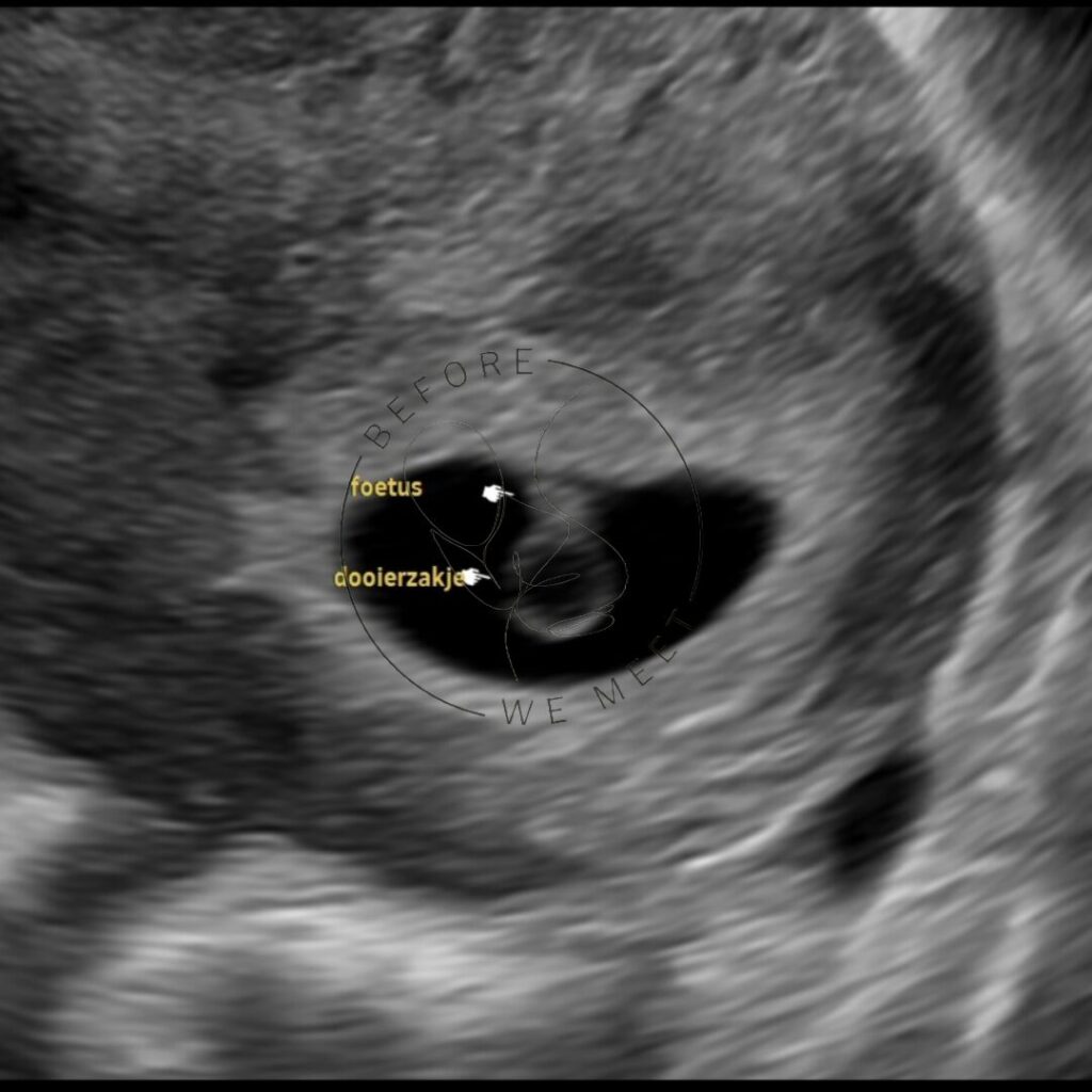
Vroege pretecho (tot 6+6 weken)
- Prijs: €50,-
- Duur: 15 minuten
- Inclusief: 2 zwart-wit foto afdrukken
Onze vroege echo’s worden alleen uitgevoerd door onze medisch opgeleide echoscopisten. Wij meten de vruchtzak e.o. de baby op, zodat je weet hoever je zwanger bent. Bij deze echo bieden wij de mogelijkheid om inwendig te kijken.
Echo’s voor de 7 weken zwangerschap geven vaak het mooiste beeld wanneer we de echo inwendig maken, maar wordt natuurlijk alleen gedaan als jij hier toestemming voor geeft. Het maken van een inwendige echo is een medische voorbehouden handeling bij wet geregeld en mag alleen door een BIG-geregistreerde zorgverlener worden uitgevoerd. Dit betekent dat zij kennis heeft over de handeling en bijbehorend kan informeren. Onze echoscopisten die de vroege 2D echo uitvoeren zijn BIG-geregistreerd. Dit onderscheidt ons van veel andere pretechobureau’s. Je zal bij ons dan ook nooit het nieuws krijgen dat we de zwangerschap niet in beeld kunnen brengen.

2D pretecho (7-40 weken)
- Prijs: €50,-
- Duur: 15 minuten
- Inclusief: 4 zwart-wit foto afdrukken

Geslachtsbepaling (vanaf 14 weken)
- Prijs: €55,-
- Duur: 20 minuten
- Inclusief: 2 zwart-wit foto afdrukken én een gender reveal kraskaart
Je kunt bij ons ook direct leuke gender-reveal producten kopen, denk aan confetti ballonnen of confetti- of poederkanonnen. We kunnen indien gewenst de ballon ter plekke tegen een kleine meerprijs voor je vullen met helium. Ook wanneer je een gender-reveal party gaat geven (of wanneer deze voor je georganiseerd wordt) zorgen wij dat het voor jou nog steeds een échte verrassing blijft. Aan de buitenkant van de kanon of ballon is namelijk niet te zien welke kleur de inhoud heeft!
Check onze webshop voor de mogelijkheden. Je kunt tijdens je boeking de gewenste extra producten direct bestellen.

2D pretecho + vroeg kijkje in 3D/4D (10-20 weken)
- Prijs: €65,-
- Duur: 20 minuten
- Inclusief: 2 zwart-wit foto afdrukken en 1 kleurenfoto afdruk

Korte 3D/4D echo (20-34 weken)
- Prijs: €70,-
- Duur: 20 minuten
- Inclusief: 4 zwart-wit foto afdrukken en 1 kleurenfoto afdruk
Bij deze echo geldt er geen recht op een kosteloze herhalingsecho bij het niet of onvoldoende kunnen zien van baby’s gezichtje.

Uitgebreide 2D/3D/4D echo (24-30 weken)
- Prijs: €120,-
- Duur: 40 minuten
- Inclusief: 6 zwart-wit foto- en 2 kleurenfoto afdrukken + recht op kosteloze herhaling bij het niet kunnen zien van baby's gezichtje
Een 3D/4D echo is éxtra bijzonder doordat we de baby met al zijn of haar details kunnen zien in stilstaande en bewegende beelden. Op wie lijkt zijn/haar neusje? Heeft hij/zij al bolle wangetjes? Of misschien zien we de baby zelfs wel drinken of lachen? Het laat jou (en ons!) verwonderen hoe magisch het nieuwe leven dat in je buik groeit is!
Iedere periode van de zwangerschap vinden wij even bijzonder, juist omdat je per maand zoveel verschil kunt zien. Echter is herkenning van het gezichtje het mooiste tussen de 24e en 30e week van de zwangerschap en afhankelijk van hoe de baby in je buik ligt, of hij/zij zich verstopt achter handjes, voetjes of de placenta en hoeveel vruchtwater er aanwezig is. Mocht het daardoor niet lukken om de baby goed in beeld te krijgen dan mag je nogmaals kosteloos terugkomen voor een echo van 20 minuten.

2D pretecho tweeling (+evt. geslacht vanaf 14 weken)
- Prijs: €80,-
- Duur: 30 minuten
- Inclusief: 4 zwart-wit foto afdrukken

3D/4D pretecho tweeling (10-26 weken)
- Prijs: €139,-
- Duur: 40 minuten
- Inclusief: 8 zwart-wit foto afdrukken en 4 kleurenfoto afdrukken
Wil je je kindje vaker zien?
Kies voor één van onze voordelige echo-pakketten of een flexibel abonnement en geniet van meerdere bijzondere momenten tijdens je zwangerschap.
- Deskundige begeleiding
- Hoogste kwaliteit echofoto's- en video's
- Onbeperkt aantal digitale foto's en video's
- Alle foto's en video's direct na afloop digitaal naar telefoon of mail
- Warme en vertrouwde sfeer
Echo's uit het verleden

Vroege 2D echo

Vroeg kijkje in 3D
